
요즘 세상은 의술이 발달에 질병을 치료하는 수준이 놀랍게 발전해 줍니다만 그렇다 하더라도 사람이 능력은 한계가 있는 것 같습니다. 어떤 암은 치료가 잘된다고 착한 암이라고 하고 어떤 암은 치료가 어려울 뿐만 아니라 다른 암에 비해 끔찍한 고통을 준다고 악명이 높은 암도 있습니다. 그것이 바로 췌장암입니다.
췌장암은 가공할 통증과 함께 5년 생존율이 10% 정도밖에 안 될 정도로 무서운 암입니다. 그래서 "췌장암에 걸리면 살릴 수 없다!", "예휴가 좋지 않다!", "췌장암 걸리면 다 죽는다!" 이런 말까지 생겨나기도 했습니다만 그러나 조기에 발견만 되면 얼마든지 치료할 수 있습니다. 우리 주변을 돌아보면 췌장암으로 세상을 떠나는 안타까운 일을 종종 접하게 됩니다. 유명인들도 예외는 없습니다.

월드컵 영웅 유상철 감독이 췌장암으로 세상을 떠나서 팬들의 가슴을 아프게 했을 뿐만 아니라 그 유명한 스티브 잡스도 췌장암 앞에서는 속수무책으로 무너지고 말았습니다. 세상에는 돈이 없어서 치료를 못 받고 세상을 뜨는 사람도 맞습니다만 스티브잡스는 그 많은 돈이 있어도 건강을 회복하는 데는 그 돈이 도움을 주지 못했습니다. 돈이 엉망 금이 있으면 뭐 합니까 돈이면 다 되는 세상 같지만 돈이 있어도 돈으로 해결이 안 된 것은 분명히 있습니다.

스티브 잡스는 죽음이 임박했음을 직감하고 이런 말을 남기고 갔습니다. "직업적으로 최고의 사람을 고용할 수 있는 돈이 나한테 있지만 나를 위해 내 병을 치료할 사람을 고용하는 것은 불가능하다."라고 했습니다. 참 가슴 아픈 말입니다. 또한 "비싼 시계나 싸구려 시계나 시간이 가는 건 똑같다."라는 말도 했습니다. 이런 말은 죽음 앞에서는 그 많은 돈도 아무 쓸모가 없다는 얘깁니다.
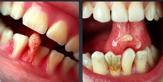
췌장암은 고통 없이 진행되고 있다가 나중에 큰 고통을 준다고 알려져 있어서 더 무서워합니다. 그래서 "침묵의 습격자다! "라고 불리기도 하는데요. 그런데 놀라운 사실이 있었습니다. 우리로 입속에는 600에서 700 종에 달하는 미생물이 살고 있는데 사람마다 서식하는 박테리아 종류와 구성이 다 다르다는 겁니다. 중요한 것은 그 세균 들 중에는 췌장암을 일으키는 세균이 있다 이겁니다. 미국 국립암연구소와 미국 암학회 지가 10년 동안 추적해 오면서 14만 명을 조사한 자료에 따르면 입속 치주염을 일으키는 세균이 췌장암과 연관성이 있었다고 밝혔습니다.

지금까지 밝혀진 췌장암 위험 요소는 "만성췌장염, 고열량식, 고령, 남성, 흡연, 가족력 이런 게 췌장암 발생 위험을 더 높인다."라고 했습니다만 그런데 알고 보니 췌장암과 구강 세균이 연관돼 있었다"는 새로운 사실이 밝혀졌다는 겁니다.
또한 과학 전문 매체 유래 칼 얼레트에 따르면 "최장 암환자들이 치주질환의 취약하고 이가 잘 빠지는 구강 건강과 췌장암이 관계를 시사하는 연구는 기존에도 있었다고 했습니다." 치주염을 일으키는 진지 말수 박테리아가 입속에 있다면 췌장암을 일으킬 위험이 59% 높다고 했습니다. 잇몸에 염증이 있는 사람은 피가 자주 나고 손상된 부위에 세균이 침투해 혈액을 타고 돌다가 췌장의 자리를 잡는다는 겁니다. 이게 췌장암이 된다는 겁니다.
췌장암은 조기 발견이 10% 이하로 매우 낮지만 흔히 나타나는 증상은 이렇습니다. 복통, 소화불량, 식욕감소, 체중감소, 황달 그리고 50대 이후에 갑자기 나타나는 당뇨, 기름진 변을 보거나 회색 변 이런 증상을 보인다고 합니다. 그런데 입속 세균 인 진지발리스에 대한 혈중 항체가 높다면 췌장암 위험이 2배나 높아지고 치주질환을 앓았던 경험이 있는 사람은 췌장암 위험이 64% 나 더 높아진 달하는 전문가들이 설명입니다.
그래서 "입속 치주 질환은 단순한 구강 문제가 아니다."라고 했습니다. 치주질환의 직접적인 원인이 구강 내 세균이라고 했고 그 세균으로 인해 췌장암 위험이 높아진다!라고 했습니다. 그렇기 때문에 입속을 어떻게 관리하는 야가 췌장암을 예방하는 가장 중요한 방법이다. 이런 얘기가 됩니다. 양치할 때 피가 자주 나거나 입속에 염증이 있다면 방치하지 말고 얼른 치료를 해야 됩니다. 늘 입속에 염증이 생기지 않도록 치아와 잇몸 관리에 신경을 써야 됩니다. 입속 세균이 혈관을 타고 이동하면서 몸속 여기저기 질환을 만들고 치매와 심장질환까지 일으킨다는 게 밝혀졌습니다. 이렇게 입속 염증 세균이 무서운 겁니다.
그러면 췌장암을 예방하는 데 효과가 좋은 식품은 어떤 게 있을까요? 그것은 바로 마늘입니다.

마늘은 항암 식품으로 널리 알려져 있죠. 그 마늘의 최장 암을 예방해 주는 효능이 있었던 겁니다. 마늘에는 아르기닌, 황, 플라보노이드, 올리고당류 이러한 우리 몸을 이렇게 하는 성분이 아주 많이 함유되어 있습니다. 이 성분들이 최장 조직의 이롭게 작용의 최 장을 건강하게 해 줍니다 뿐만 아니라 마늘에 함유된 아르기닌 성분은 성장호르몬 분비를 촉진해 최장 건강에 큰 도움을 주는 성분이 얻습니다.
마늘 속의 항산화 물질인 플라보노이드 가 풍부하게 함유되어 있는데 이 성분이 췌장에 암세포가 자리 잡지 못하게 막아주는 작용을 한다는 겁니다. 이렇게 마늘이 놀라운 효능은 미국에서도 인정했습니다. 미국 국립 암 연구소에서 연구를 했더니 마늘을 꾸준히 섭취한 사람의 마늘을 먹지 않은 사람들에 비해 췌장암 발병률이 54% 낮아졌다고 발표했습니다.
그래서 그 무서운 췌장암을 예방하려면 꾸준하게 마늘을 섭취하는 게 췌장 건강을 지키는 데 큰 도움이 된다. 마늘은 구운 흑마늘 도 꾸준하게 섭취할 수 있어서 좋지만 또 다른 방법은 마늘을 장아찌로 드시는 것도 좋습니다. 췌장암을 예방하기 위해 식사 때마다 마늘 2~ 3 쪽을 꾸준히 드시는 게 좋습니다.
| 담가 알마늘장아찌 | 반찬단지 알마늘 절임 | 오늘의밥상 알마늘지 |
![]() |
![]() |
![]() |
| 상품평 보기(353개) | 상품평보기(4,151개) | 상품평 보기(2,558개) |
치료가 잘 안 되는 췌장암은 조기 발견도 중요합니다만 예방을 하는 게 더 중요합니다. 마늘은 다른 반찬에도 많이 넣어 드시고 마늘장아찌로도 날마다 드시면서 췌장암을 얼씬도 못하게 막아 보시는 건 어떨까요? 췌장암을 예방하려면 입속에 염증이 생기지 않도록 관리하시고 마늘도 꾸준히 드시는 게 좋습니다.
"이 포스팅은 쿠팡파트너스 활동의 일환으로 이에 따른 일적액의 수수료를 제공받습니다."







